细胞器标志物是指某些细胞器上特异性表达的蛋白质或其他标记物,细胞器标志物抗体是细胞生物学中常用的研究工具。靶向特定的抗体有助于了解蛋白的亚细胞定位以及探究其生物功能,也可以在细胞器分离提取物的蛋白质印迹分析中用作阳性对照。
核内体又称内体(Endosome),在细胞生物学中指的是一种真核细胞中的膜结合细胞器,属于一种囊泡结构。作为细胞内吞作用中运载途径的一个区室,核内体从细胞质膜被传递到溶酶体被其降解,或者再循环回到细胞质膜。核内体可根据细胞内吞作用的不同时间阶段分为初级内体(Early endosome),次级内体(Late endosome),以及再循环体(Recycling endosome)。
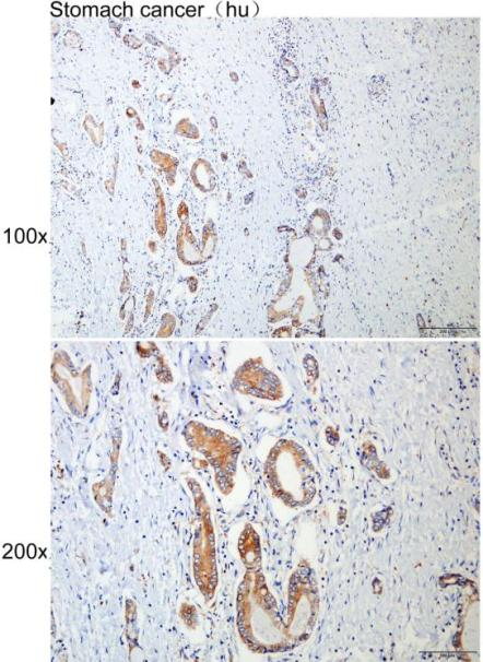
初级内体相关蛋白1(Early endosome antigen 1,EEA1)是一种外周膜蛋白,特异性定位于初级内体,结合含有磷脂酰肌醇3-磷酸的磷脂囊泡并参与内体运输。EEA1介导内体对接,并与蛋白质复合物SNAREs一起介导膜融合。

图1 EEA1抗体免疫组化结果图
(货号:K110415P)
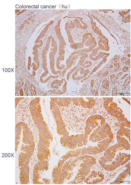
RAB9A(Ras癌基因家族Rab9蛋白)属于小GTP酶超家族,在调节囊泡运输中发挥重要作用,并存在于特定的细胞内隔室中。RAB9A定位于次级内体,并参与膜受体(如甘露糖6-磷酸受体)从初级内体到高尔基反面网络的再循环。

图2 RAB9A抗体免疫组化结果示意图
(货号:K008530P)
已有一些蛋白被鉴定可用作内体标志物(见表1)。
表 1 内体标志

相关产品
|
产品货号 |
产品名称 |
|
K001708P |
Anti-EEA1 Polyclonal Antibody |
|
K007672P |
Anti-CAV1 Polyclonal Antibody |
|
K110284P |
Anti-CLTC Polyclonal Antibody |
|
K007341P |
Anti-CLTB Polyclonal Antibody |
|
K002284P |
Anti-RAB7A Polyclonal Antibody |
|
K106776P |
Anti-RAB5A Polyclonal Antibody |
|
K107349P |
Anti-RAB9A Polyclonal Antibody |
|
K007602P |
Anti-CD63 Polyclonal Antibody |
